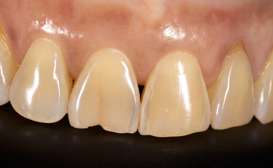
「なんとくなく前歯に線が入っているように見える」
ふと鏡を見た際に、前歯のヒビに気がつく方は少なくありません。
痛みがないと「様子を見よう」と思ってしまいがちですが、歯のヒビは表面だけに見えても内部まで進行している可能性があります。
最悪の場合は神経に炎症を起こし、抜歯といった大がかりな治療になりかねません。
早い段階で適切な処置を行えば、多くの場合は歯を守りながら治療できるため、歯医者への受診が大切です。
この記事では、前歯のヒビを放置するリスクや、歯医者に行くまでの応急的な対処と過ごし方をムクノキ歯科の歯科衛生士である東山が詳しく解説します。
前歯のヒビが薄くても歯医者を受診したほうがよい2つの理由
鏡で見ると「薄く線があるだけ」と感じるヒビでも、必ず歯医者で検査をしましょう。
見た目だけでは深さや広がりを判断できず、あとから痛みが出たり歯が欠けてしまったりすることがあります。
ここからは、歯医者に行くべき理由を2つの視点から説明します。
①ヒビは自然に治らない
前歯にできたヒビは歯の性質上、自然に治ることはありません。
歯の表面は「エナメル質(歯の内部を保護する物質)」でできています。
エナメル質は細胞からできた物質でないため、一度できたヒビは時間が経っても元に戻りません。
初期の虫歯であれば「再石灰化(唾液によって歯が修復されること)」が働きますが、ヒビは仕組みが異なるのです。
たとえ「マイクロクラック(小さなひび割れ)」でも噛む力や温度の変化によって、内部まで進行する可能性があります。
②放置すると内部で悪化・細菌感染のおそれがある
前歯のヒビに見た目の変化がなくても、細菌が「象牙質(歯の大部分を占める成分)」や神経に侵入し、炎症を起こすことがあります。
炎症は虫歯の進行に加えて、しみる・欠けるといった症状が出ることも少なくありません。
放置すると症状が出るだけでなく、食べ物やコーヒーの着色汚れによってヒビが黒ずみ、濃く見えることがあります。
とくに前歯は見た目の印象を左右し、人前で話したり笑ったりするのがおっくうになってしまいます。
前歯のヒビは気づいた段階で、早めに歯医者で状態を確認してもらいましょう。
前歯にヒビが入ったときの過ごし方
「前歯のヒビが悪化したらどうしよう」と、不安になる患者様は少なくありません。
歯医者に行くまでの間は、できるだけ歯に負担をかけないように過ごすことが大切です。
ここでは悪化を防ぐため、歯医者に行くまでの応急的な対処と過ごし方について紹介します。
硬いものは噛まない
ヒビが入った歯に噛む力が加わると、ひび割れが広がったり、欠けたりする原因につながります。
前歯は噛み切る動作において力が集中しやすいため、以下の食べ物はできるだけ避けましょう
- おせんべい
- フランスパン
- スルメ
食事の際に意識しないと、うっかり前歯で最初の一口を噛んでしまいがちです。
歯に負荷がかからないように、食材を小さくカットするのがお勧めです。
またなるべく奥歯で噛むように意識してください。
熱い・冷たい飲食を避ける
ヒビが入った歯は、温度の変化に敏感です。
熱い飲み物や冷たいデザートを口にすると、表面にあるエナメル質が急激に膨張・収縮し、ヒビが広がりやすくなります。
以下の食品は強い刺激によってヒビに影響が出やすいため、なるべく避けましょう。
- コーヒー
- スープ・味噌汁
- アイス
- 炭酸飲料
とくに暑い日はキンキンに冷えたもの、真冬の日は温かいものを口にしたくなります。
最低限、歯医者に行くまでの間はなるべく刺激の少ない常温のものを選びましょう。
歯磨きはやさしくする
歯を強く磨いてしまうとヒビの部分に刺激が加わり、痛みや悪化につながりやすくなります。
一方で、汚れを放置すると細菌が繁殖し、ヒビから内部に入り込むリスクがあるため、やさしく丁寧に磨くことが大切です。
時間がないと余計に短時間で汚れを落とそうという意識が働き、つい歯ブラシに力が入ってしまいます。
歯ブラシはペンを持つように軽く握り、力を抜いて小刻みに動かすことがポイントです。
口をすすぐ際はぬるめの水を使い、ヒビに刺激を与えないようにしましょう。
前歯にヒビが入る3つの原因

前歯にヒビが入る原因は、外からの強い衝撃だけではありません。
日常生活のちょっとしたクセや体の変化でも少しずつダメージが蓄積していきます。
ここからは、前歯のヒビを引き起こす主な3つの原因について解説します。
①就寝中や無意識の歯ぎしり・食いしばり
歯ぎしりや食いしばりは奥歯だけに影響が出るものだと思われがちですが、前歯にも想像以上の負担がかかっています。
リラックスした状態において、上と下の歯は離れているのが正常です。
しかし、ストレスや日常のクセによって無意識に力を入れてしまい、少しずつヒビが入ることがあります。
とくに寝ている間は自分で気づけないため、「ナイトガード(歯ぎしり防止用のマウスピース)」を使うのも効果的です。
ヒビの原因を作らないために、日常からストレス発散や姿勢を意識して過ごしましょう。
②加齢や乾燥によるエナメル質の劣化
年齢を重ねると歯の表面を守るエナメル質が少しずつ薄くなり、ヒビが入りやすくなります。
口呼吸や加齢による唾液量の減少は、前歯を乾燥させる原因の1つです。
エナメル質の強度を保つために、以下のことを意識しましょう。
- こまめに水分補給する
- 栄養バランスがとれた食事をする
- 炭酸飲料やチョコレートの摂取を控える
前歯は歯のなかでも一番空気に触れる場所で乾燥しやすいため、日常の工夫でエナメル質の劣化を遅らせることが大切です。
③虫歯・治療済み歯の強度の低下
虫歯や治療した歯は健康な歯に比べて強度が下がるため、幼少期に転倒やスポーツで前歯を治した経験がある方は注意しましょう。
とくに前歯を削った経験がある方はエナメル質や象牙質が薄くなり、詰め物や被せ物で補っていても、強い衝撃には弱い状態です。
治療部分と天然の歯の境目は、時間の経過とともにすき間ができる場合があります。
硬めの肉を食べるなどの力が加わった際に、ヒビが入りやすくなります。
定期的に歯医者でチェックを受けることで、トラブルの早期発見が可能です。
前歯にヒビが入ったときの治療法

ヒビの深さや広がりに応じて、歯医者では段階的に治療を行います。
ここでは、軽度・中程度・重度の3パターンに分けて治療法を紹介します。
軽度:経過観察・コーティング
痛みやしみるといった症状がなく前歯のヒビがごく浅い場合は、コーティング剤を使用して表面を保護します。
軽度であれば、経過観察になることも少なくありません。
コーティングは、主に「フッ素(エナメル質を強くする薬剤)」を使用します。
フッ素の塗布は基本的に保険が適用されず、自費治療です。
費用は歯医者によって異なりますが、1,000円〜3,000円程度が相場です。
歯を削る治療とは異なるため、見た目はそのままの状態を保てます。
定期的にヒビの程度や虫歯になってないかを歯医者でチェックしてもらいましょう。
中程度:詰め物・被せ物で保護
ヒビがエナメル質の奥まで広がっていたり、欠けたりしている場合は「レジン充填(詰め物)や「クラウン(被せ物)」で補強します。
レジン充填の費用は、保険が適用の場合1,000円程度、自費治療の場合は1万円以上かかるのが一般的です。
クラウンの場合は見た目を重視すると自費治療となり、10万円以上かかることもあります。
前歯は見た目が重要なため、多くの場合は自然な色合いに仕上がる素材が選ばれます。
重度:神経の治療や抜歯
歯の内部までヒビが入り、神経まで達している場合は「根管治療(神経の治療)」が必要です。
根管治療とは炎症のある神経を取り除き、内部を洗浄・消毒したうえで薬剤を詰める方法です。
さらに神経に炎症が起きた状態を放置すると、歯を残せなくなることがあります。
根管治療・抜歯後は被せ物やインプラントを使い、見た目を自然に仕上げ機能性を高めます。
費用は保険適用と自由診療があるため、歯医者とよく相談して決めましょう。
まとめ:前歯のヒビは痛みがなくても早めに歯医者を受診ましょう
ヒビは歯ぎしりや乾燥、過去の治療によって起こりやすい傾向にあります。
前歯のヒビを見つけた時は、痛みがなくても内部で炎症が起きているケースがあり、そのまま放置せず、早めに歯医者で確認してもらうことが大切です。
初期のうちに受診すれば、神経の治療や抜歯といった大がかりな処置を避けられる可能性が高くなります。
ムクノキ歯科では、公式LINEやメールでのお問い合わせを24時間受け付けております。

